L'équipe Cibles thérapeutiques, formulation et expertise préclinique du médicament (Cithefor) est une unité de recherche qui travaille sur le développement de nouvelles stratégies thérapeutiques pour le traitement des maladies vasculaires. L'article qui suit est signé par sa directrice, Ariane Boudier (maître de conférences), son directeur adjoint, Igor Clarot (professeur), et par Arnaud Pallotta, maître de conférence en bioanalyse du médicament.
La dimension « nano », celle du milliardième de mètre, a investi l’industrie et nos vies quotidiennes. Les nanoparticules, objets qu’il faut imaginer comme un assemblage d’atomes, sont de plus en plus utilisées en électronique, en agroalimentaire, en cosmétique et aussi dans le domaine pharmaceutique pour la fabrication de médicaments.
Une norme, ISO TS 27687, rédigée par l’organisation internationale de normalisation, définit ce qu’est une particule « nano » : entre 1 et 100 nanomètres. Pour donner une idée, la différence de taille entre un homme et une nanoparticule correspond à la différence entre la planète Terre et une orange. Il est aussi important de souligner que cette échelle de taille correspond également à celle de la plupart des virus : le virus de la grippe est par exemple assimilable à une sphère d’environ 100 nm.

Illustration de la dimension nanométrique. Auteur, Author provided
« Super-pouvoirs »
Actuellement, la discussion porte sur la balance à faire entre les potentialités que peuvent offrir de tels objets et le principe de précaution qu’il serait utile d’appliquer pour les utiliser. En quoi sont-ils problématiques ? Leurs « super-pouvoirs », en relation avec leurs caractères physico-chimiques particuliers liés à leur taille, peuvent inquiéter. La science en sait-elle assez sur les nanoparticules pour garantir leur innocuité ?
Le cas se pose notamment pour les médicaments. Dans le domaine pharmaceutique extrêmement contrôlé, les produits commercialisés passent par un processus réglementaire relativement long qui permet de sécuriser leur usage et de prouver leur intérêt par rapport à ce qui existe déjà sur le marché. Pour chaque matière première pharmaceutique (on les appelle des ingrédients), il existe une monographie spécifique. Celle-ci établit sa définition exacte, c’est-à-dire son identification sans équivoque, évalue sa qualité comprenant pureté et limitation des impuretés.
À l’échelle nanométrique, les propriétés développées par la matière sont complètement différentes, et ouvrent de nouvelles perspectives, notamment dans le domaine pharmaceutique. Les nanoparticules y sont utilisées :
-
Soit comme excipient, par exemple le dioxyde de titane utilisé pour enrober des comprimés ;
-
Soit comme principe actif, par exemple des nanoparticules à base de fer injectées dans l’organisme dans le domaine de l’imagerie pour faciliter le diagnostic en augmentant le contraste de l’image obtenue ;
-
Soit comme un transporteur de molécule active, par exemple une molécule anti-cancéreuse fixée sur la particule et véhiculée dans l’organisme. Nos travaux de recherche ont montré dans ce sens qu’une seule nanoparticule pouvait porter jusqu’à 7 500 molécules ayant une activité thérapeutique.
Dans les deux derniers cas, l’intérêt de l’utilisation des nanoparticules repose sur leurs propriétés remarquables. Par exemple, ces nano-objets ont ainsi montré une augmentation de l’efficacité par rapport à la thérapeutique existante, d’autres, une diminution de l’apparition d’effets secondaires par rapport à la molécule usuelle pour une efficacité au moins identique.
Mais l’utilisation des nanoparticules comme potentiels nouveaux outils thérapeutiques, en lien avec leur impact mal connu sur le corps humain, rend nécessaire un contrôle strict de ces dernières. Au même titre que des médicaments « classiques », tout nano-objet devrait subir un contrôle strict avant son utilisation. Or, à ce jour, il n’existe pas de monographie spécifique pour les nanoparticules.
Les études les utilisant dans un cadre pharmaceutique se concentrent sur quatre grands paramètres structurels :
-
La forme et/ou la taille de l’objet, qui se fait la plupart du temps grâce à de puissants microscopes électroniques capables d’atteindre une résolution suffisante.
-
La formation d’agglomérats dans l’échantillon directement liée au point précédent.
-
La charge de surface (l’objet est-il chargé positivement ou négativement) qui peut être évaluée lorsque la nanoparticule est soumise à un courant électrique.
-
La composition chimique de la nanoparticule en elle-même. Être sûr de l’absence d’éléments contaminants qui peuvent venir modifier ses propriétés.
Normes de qualité
Ces étapes sont nécessaires mais encore très insuffisantes pour qualifier les nanoparticules utilisées en santé de « matières premières pharmaceutiques ».
La grande diversité des nano-objets utilisés en recherche et disponibles sur le marché rend difficile la définition d’une norme internationale.

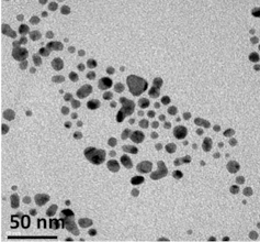
Photographie en microscopie électronique de nanoparticule d’or de 5 nm. Auteur, Author provided
Cependant, grâce à des méthodes spécifiques développées au laboratoire, nous avons défini des normes de qualité selon des critères proches de ceux imposés par la réglementation pharmaceutique internationale. Ces méthodes permettent, en complément des paramètres classiques cités précédemment, de déterminer précisément la pureté ainsi que les impuretés présentes dans les lots de nanoparticules couramment utilisées.
Des études de lots commerciaux actuellement présentés comme « purs » (trois fournisseurs différents) montrent des écarts significatifs vis-à-vis des données accompagnant les échantillons ainsi qu’une stabilité bien inférieure à celle annoncée (un mois au lieu d’un an). Devant l’essor de l’utilisation des nanoparticules à visée pharmaceutique, il nous a paru urgent et nécessaire de sensibiliser la communauté scientifique quant à l’importance de disposer de nano-objets de qualité parfaitement définie et répondant à des normes internationales qu’il reste encore à définir.
![]()
Igor Clarot, Professeur en bioanalyse et métrologie du médicament, Université de Lorraine; Ariane Boudier, Maître de Conférences, Université de Lorraine et Arnaud Pallotta, Maitre de conférence - Faculté de pharmacie, Université de Lorraine
Cet article est republié à partir de The Conversation sous licence Creative Commons. Lire l’article original.

